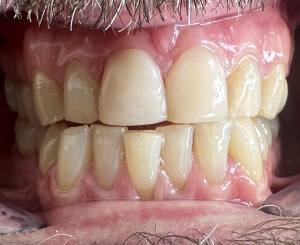
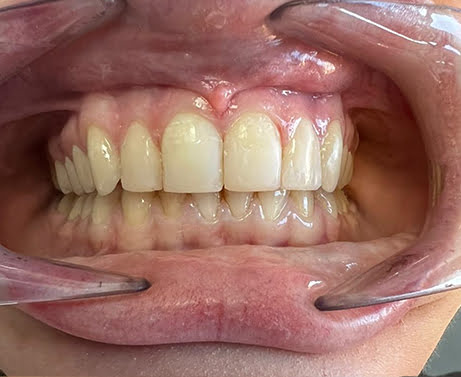
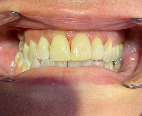
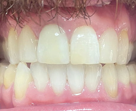
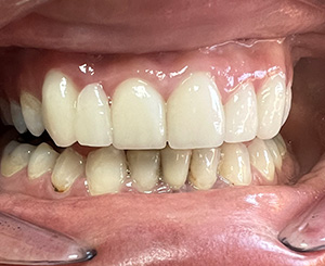
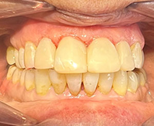
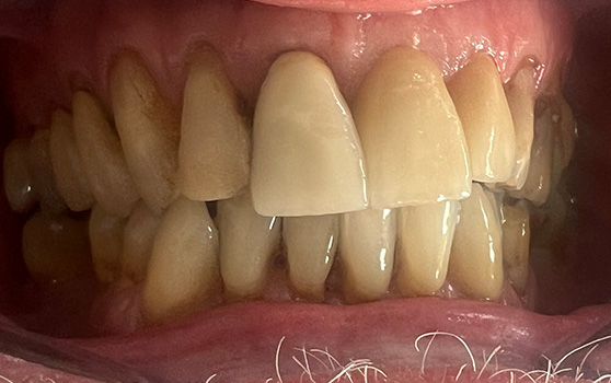
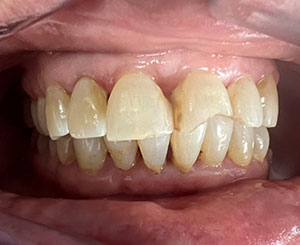
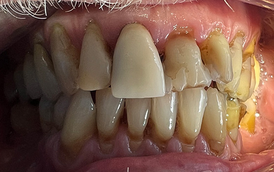
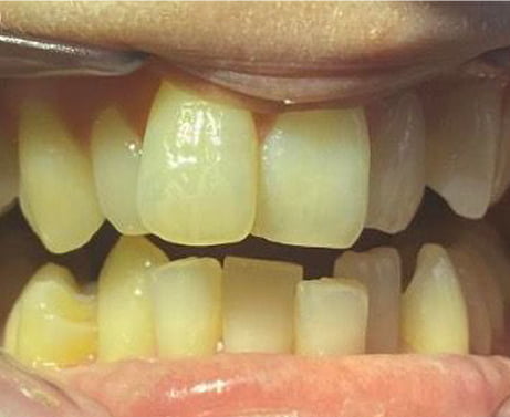
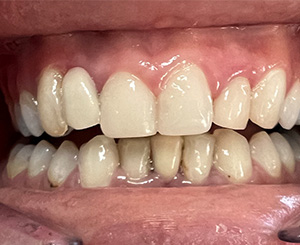
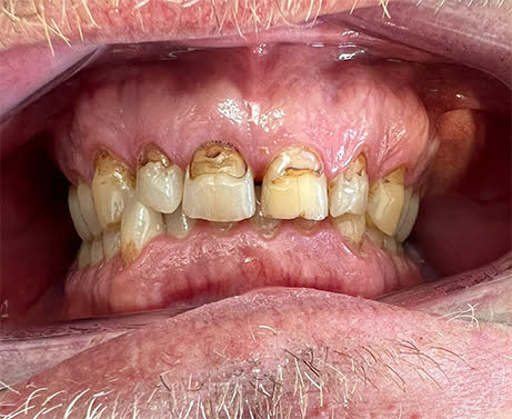
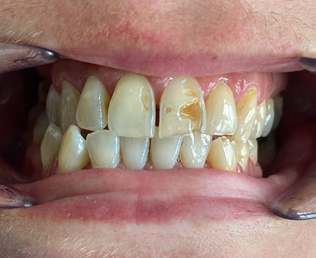
At Tarring Dental, we can transform both the way you look and how people perceive you. Don’t just take our word for it – have a look at some of our past work below. Please get in touch today if you would like to find out more or schedule a consultation.













We offer a warm welcome to all patients looking to benefit from our dynamic and professional dental care and wide range of treatment options. Our clean and spacious practice and welcoming team help you feel at ease from the moment your journey begins.
Please be aware that we are a first floor practice that is only accessible via stairs.
Please contact us to find out more - we’re looking forward to getting to know you and showing you what we can do.
Please note we are currently unable to accept any new NHS patients.
