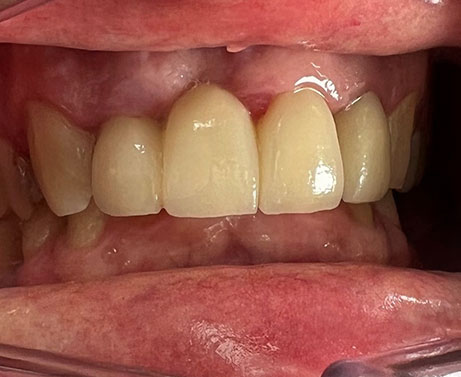
If unsightly teeth are spoiling your smile, crowns can offer a neat, natural-coloured cover up. They fit completely over a whole tooth, concealing defects caused by chips, decay, discolouration or large fillings. Made from a variety of materials, including metal, porcelain, resin or ceramic, they can also be used to support a dental bridge or affixed to a dental implant.
book your consultation today

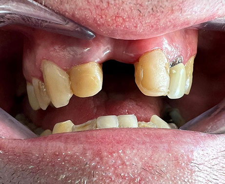
Crowns are commonly used to repair damage that has affected the structure and functionality of a tooth. As they replace the whole outside structure of the tooth, they are a full rebuild for teeth that need an overall restoration. For teeth that have had multiple fillings, extensive decay and general damage, a crown is the way forward.
In some cases, your dentist may use a crown to restore a tooth following a root canal treatment for an aesthetic and reliable finish.
We first ensure that the internal structure of the tooth is intact, making sure there are no signs of infection.
We remove a layer of tooth structure, but make sure we leave a strong core. The amount of tooth removed depends on the thickness of the crown, which can differ depending on the material used to make it.
We then take impressions of your teeth and record their colour so the crown can be made to fit perfectly. Between appointments, we protect the prepared tooth with a temporary crown.
When your crown is ready, the temporary crown is removed and the new permanent one fixed in place with a strong dental cement.

The best way to look after your crown is to stay on top of your oral hygiene – this means keeping your teeth and gums healthy by brushing with a fluoride toothpaste twice a day and flossing between your teeth. You also need to see your dentist regularly for check-ups so they can keep an eye on your crown and the tooth underneath.
Your crown can last for up to 15 years before needing to be replaced. This varies depending on factors including how well it is looked after and if the rest of your teeth are kept healthy and strong. In most cases, it is natural wear and tear that prompts the need for a replacement.
No, dental crown treatment is not reversible. Some of your natural tooth enamel and structure is removed to accommodate the crown on top, and this cannot be put back on. You will always need to have a crown fitted on the tooth, which we can repair and replace when necessary.
Dental crown treatment is not painful. We use local anaesthetic to numb the affected area in your mouth and help you stay comfortable during treatment. Having a dental crown should be no more painful or uncomfortable than a standard filling procedure.
Whitening treatment is not effective on dental restorations such as crowns, and will not change their colour. However, unless you choose to whiten your natural teeth, it may not pose a problem. Although crowns can become stained over time, the level of this staining is a lot less severe than in your natural teeth so it may not be immediately noticeable. If you do have whitening treatment and your crown therefore looks much darker and stands out in your smile, you may choose to have it replaced at an additional cost.
We offer a warm welcome to all patients looking to benefit from our dynamic and professional dental care and wide range of treatment options. Our clean and spacious practice and welcoming team help you feel at ease from the moment your journey begins.
Please be aware that we are a first floor practice that is only accessible via stairs.
Please contact us to find out more - we’re looking forward to getting to know you and showing you what we can do.
Please note we are currently unable to accept any new NHS patients.
